AIの画像分析で病気を早期発見、見落とし防げ――全国の医療機関で導入広がる 医師の負担軽減にも期待

2025/11/04 14:30
AIで検出した脳動脈瘤が疑われる部分を指す中薗紀幸大井病院長=6日、姶良市
AIで検出した脳動脈瘤が疑われる部分を指す中薗紀幸大井病院長=6日、姶良市
 人工知能(AI)で画像分析し、がんなどの病変発見を手助けする医療機器が全国に広がりつつある。導入した鹿児島県内の医療機関からは、診断の見落とし防止や医師の心理的負担の軽減につながると期待する声が聞かれる。

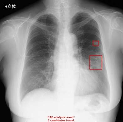
 姶良市の大井病院は2月、AIを使った胸部エックス線検査の診断支援システムを使い始めた。エックス線画像をAIにかけると、1~2分後に肺がんが疑われる影を検出。大動脈の直径も自動的に計算する。

 同院は頭部の血管を調べる検査でもAIを導入している。最終的に診断するのは医師だが、中薗紀幸院長(62)は「ダブルチェックができて安心感がある」と評価する。

 夜間は、当直で専門外の医師が診断するケースも多い。中薗院長は「医師の経験値の差も補える。コストはかかるが、早期発見の精度を高められるはずだ」と語る。

 開発したエルピクセル(東京)によると、2025年6月時点で全国で1000医療機関が導入し、19年の10倍に増加。頭部MRA(磁気共鳴血管撮影法)の画像診断では医師の読影と併用することで、病変を検出する割合が約1割高まったとのデータもある。

 県内では、徳之島や沖永良部など離島を含む12医療機関が導入し、胸部エックス線や頭部MRAの検査で活用している。医師の偏在が進む中、AIを使った技術が医療の効率化や質の向上に役立つと期待される。同社の担当者は「医師の負担が増している中、診断の安心材料になれたら」と話した。

鹿児島のニュース(最新15件) >

日間ランキング >