会員登録は
こちら
メニュー
メニュー
申込・投稿
申込・投稿
南日本新聞デジタル
南日本新聞デジタル
紙面ビューアー
紙面
ビューアー
ログイン
ログイン
ニュース
主要ニュース
記事検索
Myスクラップ
鹿児島のニュース
地域別
市町村マップ
ジャンル別
日間ランキング
週間ランキング
月間ランキング
鹿児島の経済
国内海外のニュース
速報
エンタメ
ジャンル別
スポーツ
ニュース
県下一周駅伝
高校野球
鹿児島ユナイテッドFC
高校サッカー
U-12サッカー
鹿児島レブナイズ
フラーゴラッド鹿児島
ちびっこソフトボール
南日本ゴルフ選手権
南日本シニアゴルフ選手権
南日本カップアマチュアゴルフ大会
鹿児島マラソン
かごしま国体・障スポ
写真・動画
373写真館
フォトギャラリ-
動画のページ「373TV」
連載・特集
連載
南風録
社説
小説「未だ本能寺にあり」
こちら#373
みなラジ
紙面連載
かごしま城巡り
かごしま街道見聞記 桐野作人
かごしま鳥紀行
校歌の風景
黒ヂョカ
すいもあまいも
コラム
尾木ママの今日も笑顔で
香山リカ てのひら診療室
茂木健一郎のニュース探求
清田隆之 NOが言えない俺たち
藤岡みなみ 私はこれをあきらめた
ニュースのポイント
サラモシ
趣味・エンタメ・スポーツ
大谷TODAY
挑戦 羽生結弦選手の歩み
その男、ヤングマン
汐留鉄道倶楽部
くらし
医療フロンティア
選挙
参院選
衆院選
鹿児島県知事選
鹿児島統一選
特集
奄美・沖縄 世界自然遺産
追悼 京セラ・稲盛和夫さん
かごしま明治維新特集
「昭和」のかごしま
かごしまの戦争
安保激変@鹿児島@沖縄
翔べ和牛 鹿児島全共
元阪神・横田慎太郎の「くじけない」
都道府県版ジェンダー・ギャップ指数
くらし
生活情報
鹿児島のおいしいもの&温泉
Felia!フェリア
鹿児島・九州プレスリリース
373ゲーム
鹿児島の釣り
映画館案内
イベント
きょうあすの催し
南日本小学生プログラミング大会
教育
ミナミさんちのNIE
鹿児島県NIE推進協議会
すくーる373る
わたしたちふるさと発見隊
学校新聞コンクール
教職員異動
文化・芸術
南日本文学賞
南日本作文コンクール
南日本書道展
南日本ブックレビュー
各種入選・入賞者
気象
天気
雨雲の動き
月間潮見表
火山ライブカメラ
桜島ライブカメラ
防災
地震
津波
火山
台風
竜巻
特別警報・警報・注意報
防災特集2024
鹿児島で災害を考える
災害ハンドブック
リンク集
おくやみ
異動検索
記事検索
申込・投稿
みなみパス
南日本新聞デジタル
新聞購読・デジタルの申し込み
購読その他
写真販売
投稿
応募
デジタルサービス
問い合わせ
記事・写真のご利用(著作権)について
会社案内
企業情報
事業・サービス
採用案内
サイトマップ
記事・写真のご利用(著作権)について
著作権ポリシー
お知らせ
TOP
>
鹿児島のニュース
AIの画像分析で病気を早期発見、見落とし防げ――全国の医療機関で導入広がる 医師の負担軽減にも期待
2025/11/04 14:30
医療・福祉
姶良市
AI
徳之島
沖永良部島
前へ
記事へ
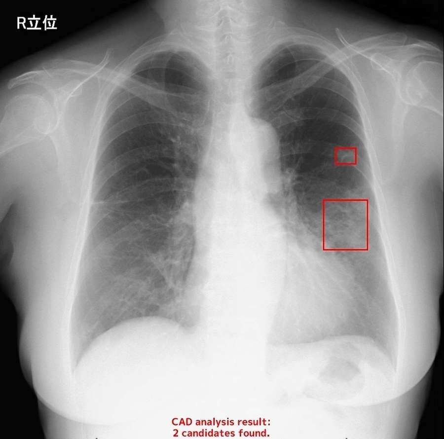
AIが胸部エックス線検査の画像を分析するイメージ。肺がんが疑われる部分が赤い四角で囲まれている(エルピクセル提供)
人工知能(AI)で画像分析し、がんなどの病変発見を手助けする医療機器が全国に広がりつつある。導入した鹿児島県内の医療機関からは、診断の見落とし防止や医師の心… [
続きを読む
]
あわせて読みたい記事
▶強迫性障害に苦しんだ16年間で見つけた「不安が軽くなる30のヒント」――漫画家・つくしゆかさんがエッセー漫画出版
▶県立5病院 患者未収金が累計1億円超え――担当課「クレカ決済導入や悪質な債務者対策を強化」 24年度決算は2年連続赤字
▶「政争の具にされた」公立病院、気づけば常勤医たった1人――救急外来停止に追い込まれた種子島病院 徳洲会に運営委託し再出発
▶新人教育がないまま、コロナ初期の緊迫した医療現場へ――20代新人看護師の自殺で遺族が病院提訴 パワハラや過重労働を訴え
▶死因究明の最前線「法医解剖」、大学任せで解剖医不足が深刻 収入低くポストも限定 識者「欧米並みに専門機関設置を」
鹿児島のニュース(最新15件) >
通算1000勝の一流棋士がやってきた――「将棋がもっと面白くなった」。直接対局通し指し手の意味を解説 曽於・光神小
11月4日 21:30
はかなく消えた恋心と2800万円――Facebookで知り合いLINE交換「2人で海外に移住しよう」 資金づくりへ投資、出金しようとしたら「手数料1000万円」
11月4日 21:03
鹿児島商工会議所 会頭に岩崎芳太郎氏を再任、5期目へ「会議所の存在感を強めるためにもう1期尽力」
11月4日 21:00
早まる感染確認…発生前に予防を! 鳥インフルに備え、路面消毒を開始 例年より前倒しして着手
11月4日 20:30
〈全国高校サッカー選手権〉鹿児島城西が大勝、鹿児島も3-0で準決勝へ 県予選4強が出そろう、準決勝は14日
11月4日 20:28
県が10年かけて育成した新品種のコメ…その味わい確かめてみて! 「あきの舞」フェア 5日スタート
11月4日 20:00
〈告知=夜間通行止め〉12日夜~19日朝、南九州道(市来~鹿児島西) 市来~伊集院も19日夜~12月5日朝 舗装補修やトンネル設備点検
11月4日 18:00
三島村長選が告示、現職と新人2人の三つどもえ
11月4日 17:11
目標の2032年「Bプレミア」参入へ、最大の課題はアリーナ改修――B2鹿児島レブナイズ 売上げ、入場者数は「絵に描いたもちではない」と手応え
11月4日 17:00
[南さつま市の課題㊤ 9日市長・市議選告示]問われる県南薩地域振興局の跡地活用 市は交流拠点施設を計画、25年度中にたたき台作成
11月4日 16:00
AIの画像分析で病気を早期発見、見落とし防げ――全国の医療機関で導入広がる 医師の負担軽減にも期待
11月4日 14:30
外国人が地場産業の担い手として定着――住民割合全国平均は3% 鹿児島県内4市町が平均上回る
11月4日 11:30
体は白黒、武器からは霧!? 鹿児島初の鉄道ヒーロー「いぶたマン」爆誕 「指宿のたまて箱」モチーフ、大車輪の活躍誓う
11月4日 11:00
速報
三島村長選が告示 現職と2新人の3人が立候補届け出【午前10時現在】
11月4日 10:35
〈ソフトテニス・県高校新人大会〉男子団体は鹿児島商業が2連覇 鹿実との2戦2勝同士の対決制す 両校は九州大会へ
11月4日 10:30
鹿児島のニュース一覧へ >
日間ランキング >
1
春高バレー女子 鹿児島県代表は鹿児島城西 鹿児島女を下し32年ぶり頂点
2
4中学校を新設1校に統合…基本計画はできたけれど、開校時期「明示できない」――保護者説明会で不満や改善要求が相次ぐ 長島
3
春高バレー鹿児島県予選男子 川内商工が5連覇 樟南に3-1
4
「断捨離」の提唱者が移住先で語った…「心にゆとりを生むコツ」
5
鹿児島県霧島市で震度4の地震
6
〈全国高校サッカー選手権〉神村学園が12発大勝、鹿実も競り勝つ――鹿児島県予選8強が出そろう
7
体は白黒、武器からは霧!? 鹿児島初の鉄道ヒーロー「いぶたマン」爆誕 「指宿のたまて箱」モチーフ、大車輪の活躍誓う
8
霧島市の横断歩道付近を歩いていた女性がはねられ、重体 霧島署が女性の身元調べる
9
〈トーナメント表あり〉春高バレー出場権つかむのはどこだ? 男子は川内商工が軸、混戦の女子は鹿女が優勢か 31日開幕、決勝は11月3日
10
「前の車が低速で蛇行運転。対向車線をはみ出して止まり、寝ている」と後続車が110番 24歳男を酒気帯び運転容疑で逮捕 鹿児島中央署
おくやみ前夜版
南日本新聞社に寄せられた「おくやみ」を紙面掲載の前日の午後8時をめどに公開します。
記事検索
南日本新聞に掲載された記事を過去1年間分検索できます。掲載翌日に最新記事160~200件をアップ。スクラップもできます。
新聞小説
南日本新聞に連載中の小説をウェブでも。挿画はカラーです。
どう変わる?5年に1度の年金改革
年金制度改革法が成立しました。少子高齢化や人手不足、シニア期の就労増加といった事象は、どのように反映されているのでしょうか。
TODAY IN MLB
大谷翔平の各打席やブルペンの様子、MLB日本人選手のニュースをお届けします。
ADDITIONAL TIME 欧州サッカー侍戦記
現地でしか聞けない欧州サッカー日本人選手の生の声を写真とともにお届けします
「2025年基準地価」~全国約2万1千地点の調査価格~
約2万1000地点の調査価格を全国地図と表から見ることができます。
YONTAKU AI
直近1週間の出来事を中心にキーワードを抽出し、それを基に生成AIが問題を作成。全て解くと最後に正答数が出ます。
異動検索
県内企業や教職員、県市町村、警察、国機関など本紙掲載の異動名簿を集約。便利な検索機能付き。
バズる政治―参院選SNS分析―
7月20日に投開票された参院選を巡るユーチューブやXの詳細な解析や有識者の見解を紹介
戦争の実相‐終戦80年‐
2025年は戦後80年。太平洋戦争に関連した出来事や時代背景、国民の暮らしぶりなどをトピックごとに紹介します。毎月一本程度のペースで、個別の出来事やキーワード、テーマを取り上げたページを順次公開予定。
混沌の先に~戦後80年
戦後の国際秩序が揺らぎ、世界情勢が緊迫する中、防衛力強化を進める日本。「『戦後』はいつまで続くのか。既に『新たな戦前』なのか」と問いかけ、未来を考えます。
南日本作文コンクール入選作
入選作を手書きの作文用紙のまま紹介します。子どもたちの力作と審査員講評を合わせてご覧ください。
鹿児島の経済
農林水産業や企業の動向など経済ニュースをはじめ新社長、キーマンのインタビュー記事などを読めます。
尾木ママの今日も笑顔で
子育てやいじめ、受験など種々の問題について「尾木ママ」がずばり読み解きます。
香山リカ てのひら診察室
エッセイでもおなじみの精神科医・香山リカさんのコラム。最新の話題を取り上げます。
茂木健一郎のニュース探求
メディアで大活躍する脳科学者、茂木健一郎さんのコラム。さまざまな社会的テーマを考察。変化の速い時代の中で悩める日本人に明日へのヒントを与えます。
藤岡みなみ 私はこれをあきらめた
ダイエット、完璧主義など日常生活で取り組んでいたことや心がけていた信条を「ポジティブにあきらめた」「前向きにやめた」経験を、軽妙なタッチでつづります。
清田隆之 NOが言えない俺たち
親しみを込めたつもりで傷つけ、強がってはチキンレースに陥ってしまう。なぜ男性同士はお互いにいたわり合えないのか。社会の息苦しさを自ら加速させてしまう男性性の在り方を考え直す連載です。
全国家計ランキング
年に1度、暦年版の家計調査で公表される鹿児島市など全国52都市の世帯当たり消費額を紹介します。
都道府県版ジェンダーギャップ指数
男女平等の度合いを可視化するため、統計処理した鹿児島県など都道府県別の指数を試算しました。
人気コンテンツ
鹿児島のおいしいもの&温泉
かごしまの戦争
「昭和」のかごしま
うた声♪公開中 校歌の風景
鹿児島マラソン2024
元阪神・横田慎太郎の「くじけない」
2023かごしま国体・障スポ
ポッドキャスト「みなラジ」
くらし・安全
潮見表
火山ライブカメラ
防災・災害情報/ハザードマップ
就活・転職、投資に役立つ「企業パレット」
教職員異動情報(検索機能付き)
PR特集 >
入選・入賞・お知らせ
各種入選・入賞者
第74回南日本書道展入賞作
新聞配達に関するエッセーコンテスト
今月のみなみパス抽選賞品
南日本小学生プログラミング大会
NIE・47NEWS
いっしょに読もう!新聞コンクール
全国学力テスト/47NEWS
大学入学共通テスト/47NEWS
NIE全国大会
地域再生大賞/47NEWS
新聞科学研究所
いつもあなたのそばに。新聞配達